
較近小萊有看到一個調查數據
據說80%的網友都覺得自己的牙齒不夠整齊
但真正去做牙齒矯正的卻很少
很多人都覺得
做矯正會疼、傷牙齒、
滿嘴牙箍太丑……
有些看法謬誤不小
看來很多人對牙齒矯正缺乏足夠的了解
較真的小萊忍不住要來做一個正經的科普
給大家818牙齒矯正的那些事兒
就從牙齒矯正的幾種方法說起吧
傳統金屬托槽矯正

這種矯正就是我們常說的“鋼牙”了
效果是有保障的
而且價格也比較親民
但是滿嘴的金屬牙箍確實有礙觀瞻
選擇這種矯正方法
有被人叫“鋼牙妹”的風險
而且像韭菜和金針菇這種細長的蔬菜
比較容易卡在牙箍上…

自鎖托槽矯正

自鎖托槽是一種比較新的技術
矯正時間比傳統技術快了1/3
復診次數也更少
算是傳統托槽矯正的升級版
但鋼牙依然是個大問題
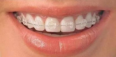
半隱形矯正

半隱形矯正的托槽
是用堅固透明的生物陶瓷材料制作的
托槽與牙齒顏色一致
遠看只有一條鋼絲,起到半隱形效果
美觀度大有改善
而且陶瓷托槽邊緣更光滑
減少了對口腔黏膜的刺激
舌側隱形矯正

舌側矯正是把矯治器安裝在牙齒內側面
外面看不到任何矯治裝置
可以算是一種全隱形的矯正
這種方法對醫師技術要求比較高
而且費用偏貴
但對想矯正牙齒又怕丑的小仙女來講
還算是個不錯的選擇
全隱形矯正

全隱形矯正是目前較主流的牙齒矯正技術
較大特點就是沒有托槽和鋼絲
和舌側矯正相比
它才是受業界認可的真正的全隱形矯正
全隱形矯正的牙套透明美觀、精確
而且可摘戴,易于清潔
在舒適衛生方面有很大優勢

全隱形矯正較黑科技的一點
就是在口掃儀的配合下
可以進行全數字化矯正方案設計
只要10分鐘
就可以提前看到牙齒矯正后的效果

牙齒矯正到這里就說得差不多了
小萊還整理了一些牙齒矯正的熱門問題
小仙女們看完這些問題
就可以算半個矯正醫師了~
想給自己做牙齒矯正的親
是不是覺得成竹在胸?
年終美牙福利
數字化矯正設計0元
10分鐘預知矯正后的效果
全隱形矯正直降20000+
提升顏值底線,省心又省力
僅限18-25號喔~
牙齒矯正熱門問題
01
我已經XX歲了,還能矯正嗎?
小萊用一句話回答這個問題:只要牙周健康,任何年齡都可以做牙齒矯正!
02
聽說做了牙齒矯正,老了會掉牙?
老年人掉牙多是牙周炎引起的,牙齒矯正和老年人掉牙并無關系。通俗來說,牙齒矯正只是利用了牙槽骨本身就有的高可塑性,矯正過程并不會損害牙槽骨,自然不會有掉牙的副作用。
03
牙齒做了矯正會不會變得松動?
牙槽骨的可塑性很強,矯正過程中,牙齒是會松動并按矯正設計好的方向移動的。牙齒移動到預定的位置,矯正結束,牙齒就會重新穩定下來。
04
戴牙套會腐蝕牙面?
所謂的腐蝕其實是因為戴牙套不方便做口腔清潔,口腔衛生不好導致托槽周圍牙面上的牙釉質脫礦,真正的罪魁禍首是口腔衛生差。
05
做牙齒矯正一定要拔牙嗎?
不一定要拔牙,根據個人情況而定。拔牙是為了騰出空間,好把牙齒排整齊,矯正完成后不會留下縫隙。
還有疑問?
點擊閱讀原文問小萊
美萊年終感恩答謝盛典
超級紅人周 【一口價】
12月13日-12月27日
正在火熱進行中

瘋狂鉅惠無止境,多重豪禮享不停
臻品項目低至380元 100元購物卡免費送
超皮秒免費送 高端定制潔面片免費送
消費送雙倍積分 爆品美妝免費送
......
更多福利等你來開啟
