
都說擁有自信的笑容的人較美
可齙牙、地包天、牙齒不好看...
分分鐘把你拉遠距離,心塞ing

如果有一口歪歪扭扭的牙
你還能開心的笑嗎?
▽


據統計
中國有超過89%的人牙齒不整齊
很大程度上影響了社交和生活

那么我們不得不正視一下
為什么現在好多人的牙齒都不整齊?
︿
其實
隨著人類不斷地發展演變
我們的頭骨發生了一定程度的改變

研究發現
因現代人頜骨提供空間變小
所以才影響了牙齒的生長發育


▽
其實牙齒發育不好
不僅會影響牙齒的美觀,拉低顏值
還會出現不少牙齒不整齊帶來的
說話、咬合、社交等問題
嚴重影響日常生活和工作
▽




好在咱們有牙齒矯正
大多數人都能通過它逆風翻盤
包括很多明星的爆表顏值
都是靠“牙套”打下了半壁江山呢


雖然心動于牙齒矯正的效果
但生活中很多想做牙齒矯正的寶寶
又因擔心美觀問題帶來一些意外的煩惱
(如“鋼牙仔”這類的外號)
想要有效又不那么顯眼的牙套

因此
隨著科技的發展,它就誕生了


很多怕帶著“小鋼牙”
新增外號影響心情的人
都果斷選擇既美觀又的它
Like this
▽

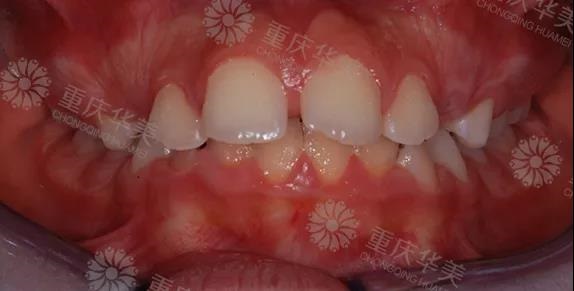
生活中
這樣的牙齒不僅吃東西老塞牙
還經常被開玩笑說像“兔牙”

在美姐家
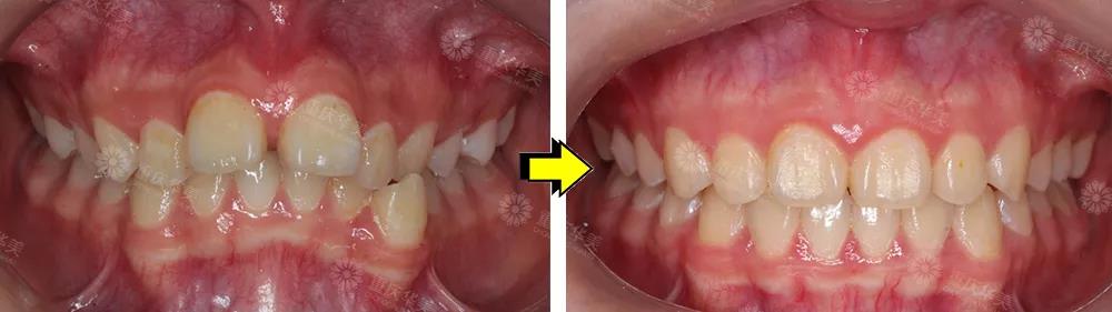
經過了個性化定制的無托槽隱形牙套
可以自行摘下來
不僅可以正常刷牙
就算想進行洗牙式的深入交流也不用擔心
完全恢復后的牙齒排列整齊
笑起來就是辣么吸引眼球
顏值唰唰唰的就上去了


美姐家是重慶頭一個隱形矯治中心
所用材料超輕薄隱形
都是獲得了FDA、SFDA認證的
看得出戴了牙套嗎?

此外
我們還集合了全*6大隱形矯正技術
數字化模擬牙齒移動過程
真正實現了全程及遠程診療
▽



咱家的醫師團
臨床經驗平均都在20年以上
更放心、更保障
▽

矯正前
咱家醫師會根據個人牙齒的空間、排列
比例、臉型、唇形360°全角度設計
解決牙齒排列問題的同時
還能解決頜骨、顱面的不協調等情況
達到面部整體和諧美


較重要的是
矯正全程感,牙套易摘戴
不僅方便日常進食和口腔清潔
還完全不影響生活和工作

美觀、時尚
效果還辣么好的隱形矯正
確定不pick一下嗎?

若你有
牙齒稀疏、有縫隙、齙牙等問題
5.1勞動節提前“放價”
塑美項目低至1折!
【整形超值專區】特惠拿走
