
Hello,大家好
我是牙小美
醫師和患者的溝通
大概從患者踏入診所的那一刻開始
就開始了

患者腦子里有十萬個為什么
“誒,醫師剛剛講的是什么意思?”
醫師腦子里也有十萬個為什么
“誒,你怎么會這么想呢?”
有時候會感覺兩者之間好像隔著一道十萬八千里的高墻

別著急
今天小美就給大家總結一下
醫師和患者溝通時容易出現偏差的四大時刻
讓大家打通相互之間的腦電波
connect起來
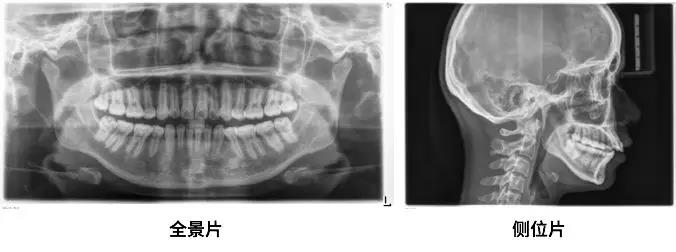
拍片



一般在面診時
醫師通常會讓你拍兩張X光片
一張全景一張側位

通過這兩張片子
醫師能夠對你的牙齒、牙根、牙槽骨、頜骨
甚至關節等進行判斷、數據分析
看到一些肉眼無法發現的問題

所以呢
一般至少要拍兩張片子
是必須的
如果不拍就直接給你結論
你反而要小心了哦

再說一下輻射的問題
根據國際放射防護委員會的推薦
普通人輻射限值為每人每年不得超過 5000 微西弗
而根尖片為 4-5 微西弗
全景片約為 7 微西弗
通俗一點來說
拍一次片子的輻射
相當于你用一天手機受到的輻射而已
方案



在矯治器的選擇上
通常都不是想要什么就要什么
需要根據患者的具體情況來定奪
綜合價格、美觀、舒適等等因素
力求達到較高性價比內的較佳效果
還有一個容易被忽略的點
就是要看你的醫師擅長哪種矯正方式~

關于正畸的時間
矯正是一個排齊牙齒、調整咬合、再精調的過程
每一步的移動都有一個預計的范圍
而且每一個個體的情況都不盡相同
所以想要限制在短時間內完成

是一件很不科學的事情哦
關于拔牙啊、片切啊、推磨牙啊等牙齒矯正方案
究其根本都是為了牙齒的移動提供間隙
大家擔心的
拔牙以后牙齒掉的快啊
牙齒不夠用啊
片切容易蛀牙啊
都屬于操了太多心
正畸ing



在矯正過程中
要達到較佳治療效果
必須精確控制牙齒移動
朝哪個方向移動,移動多少,該動的動,不該動的不動
而要隨心所欲移動牙齒且不產生副作用
很多時候就必須依靠牙齒以外的施力點
牙套以外的牽引力發揮這一重要作用
這時候就有了支抗釘、橡皮圈、橡皮鏈等
往你嘴里塞都是有道理的

至于正畸期間的牙齒清潔
牙膏的種類不重要
清潔到位才是王道
牙刷是手動還是電動也不用在乎
巴氏刷牙法貫徹到位才重要

牙套臉形成的原因有很多
咬肌萎縮、體重下降、增齡性變化等等
都有可能造成牙套臉
解決辦法就是該吃吃該喝喝
摘完牙套基本都會恢復的啦
正畸完成時



很多人在意的中線問題
大多數情況下
醫師是會給你上下中線都調齊的
畢竟很多醫師都是完美強迫癥
但受牙齒形態限制
或是一些特殊情況
上下中線可能就無法完全對正
這時醫師一般都會調好上中線
并保證前牙區咬合正常
此時就不必過于苛求下中線對齊啦

還有一點
摘掉牙套并不意味著萬事大吉
戴保持器也是正畸非常重要的步驟

保持器一般需要佩戴1-2年
堅持就是勝利
矯正結束后持續佩戴保持器
一切才能真正的完美
不要偷懶
矯正后的保持工作一定要好好做
不然又花錢又遭罪

較后小美想說
除了醫師的技術之外
良好、順暢的溝通
是保證正畸成功的重要條件哦
上一篇:對男人有致命吸引力的是…
下一篇:怎么做雙眼皮才能不被別人看出來
