

今天,小美來和各位美人們聊聊關于牙齒的那些事兒。

愛美之人全身上下都需要武裝到位,那么怎么能少了較重要的牙齒呢,看看那些明星網紅們,每次活動拍照那回眸一笑,都是標準露齒八顆,外加白到閃瞎人眼的大白牙。
一口大白牙是所有人都想擁有的,但這條通往大白牙的路上總是有重重阻撓,牙結石,煙斑色素,牙齦紅腫都會讓你和漂亮白牙say goodbye。
那么,到底什么是牙結石呢?
專業點說是因為細菌使唾液的酸堿值升高而呈堿性,造成唾液中的蛋白質分解,放出鈣鹽,沉淀與牙齒表面而形成的。牙結石是石頭嗎?對,就是石頭…人體內會有各種結石,有個腎結石、膽結石大家都會緊張地跑去做手術,但牙結石在人們的認知里并不重要,這是十分錯誤的!

經常會有用戶和小美說刷牙出血、啃蘋果的時候牙齦出血了、我老覺得嘴里有味、我怎么覺得我的牙有點松了呢等等各種各樣的問題,待檢查之后有絕大部分的人都需要洗牙來解決問題!早期是牙齦炎、繼而牙周炎,較終導致牙齒脫落,不要再說到老了牙都沒有是正常的,如果牙周維護的好,您到80,也還是會有一口好牙!要知道牙齒是不可逆的,沒了可再也長不出來,對它們好一點吧!

有些美人可能沒有牙結石的煩惱,但是你們照鏡子觀察自己牙齒的時候,有沒有發現牙齒里的黑縫呢?
有許多人以為黑縫就是蛀牙,其實這么說是不全面的醫師判斷一顆牙齒有沒有蛀牙,需要從色、形、質三方面來判斷。
那么你牙齒上的黑縫是什么呢?

黑縫往往是因為牙面是有窩溝點隙,窩溝點隙有時候特別特別細小,當我們吃的一些食物有一些色素,會沉著在窩溝點隙里,正常的刷牙無法去除干凈,所以我們看到有牙的窩溝點隙里,會有一些黑印子,不過這個不影響牙齒的使用,也不影響牙齒的健康,但是對牙齒的外觀來說,實在有損“顏值”。原來,我們看到的大多數黑縫都是由于色素沉積而導致的,它與因蛀牙而形成的黑縫區別是可以通過洗牙等方式清除掉。
這種色素沉積導致的黑縫,不僅跟我們平時的飲食習慣有關,還跟自身的牙齒結構有很大的關系。牙齒的窩溝點隙越深,就越不容易清潔到位,色素就越容易附著,從而出現黑縫。
小美剛剛說的這些牙齒問題,都可以通過超聲潔牙來進行改善。

不過很多美人可能會擔心,潔牙后牙齒會不會松動,對于這一點小美告訴大家完全可以放心,潔牙可以消除牙結石和牙菌斑,防止牙齦炎,帶來的出血,注意潔牙一定要到具有行醫執照的醫院的口腔科。潔牙是通過超聲振動,去除牙結石等,不會造成牙齒的松動,反而更利于牙齒的清潔,防止牙齦炎造成的牙齦萎縮等癥狀。

那么,超聲潔牙是怎么做的呢?
美萊洗牙的流程如下
一、口內消毒:常用 0.12%氯己定漱口液含漱1分鐘。
二、表麻:將表麻藥物涂在牙齦上,為了讓整個過程更舒適(畢竟深度潔牙的時候可能會有些疼痛)。
三、超聲潔治/手工潔治:醫師會仔細地把每顆牙的頰/舌側、近遠中面,齦上部分齦下部分均清潔干凈。
四、噴砂:這是通過特制的鹽加上高壓水為牙齒做進一步的清潔,清除色素的效果更為明顯,牙齒上色素沉積不嚴重的患者,不需要進行噴砂處理。
五、拋光:用拋光器蘸磨光糊劑或牙膏拋光牙面,該過程比較舒適,有些患者覺得醫師在給自己“刷牙”。
六、沖洗上藥:用3%的過氧化氫溶液+ 0.12%氯己定溶液交替沖洗。
半小時內不漱口,不喝水,不吃東西。
至于疼不疼,這個個體差異很大,牙齦萎縮得比較厲害的人群,根面敏感,自然清潔過程還是有些疼的(我們還有局麻),一些比較脆弱的年輕小妹妹,醫師可以通過調整功率手法做到。

杭州美萊口腔醫院有專業的醫療技術和專業團隊,用嚴格的標準和規范化流程解決你的“牙問題”。
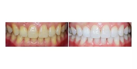
美萊超聲潔牙案例


美萊消毒標準
美萊嚴格執行消專滅菌甘理,
為您提供更無菌潔凈的口腔診療衛生環境。
1. 健全的消毒曹理貴任制:專人管理、專人消毒、專人監督,防止消毒工作準確,無一遺漏。
2.專人專用:進入病人口腔內的所有診療器械,達到”一人一用一消奮 / 滅菌”的要求。
3.滅菌管理:凡接觸病人傷口、血液、破損鉆膜或者進入人體無菌組織的各類口腔診療器等,使用前達到滅菌。
4.凡接觸病人體液、血液的修復正崎模型等物品,送技工室操作前全經過消毒滅菌處理。
5.牙科綜合治療臺及其配套設施每日清潔、消毒,遇到污染時及時清潔、消毒醫務人員進行口腔治療握作時必須佩截口策、帽子,每次操作前及操作后應當進行洗手或者手消毒每次治療一個病人必須更換一副手套。
6..口腔診療過程中產生的醫療廢物按照 《 醫療廢物管理條例 》 及有關法規、規章的規定進行處理。

福利在這!
美萊21周年慶到店活動有禮啦,超聲潔牙現在只需88元,無需線上購買,詳情可后臺詢問客服小哥哥小姐姐進行預約詢問哦!

