
Hello,大家好
我是牙小美
不知道大家有木有遇到過這種情況
吃著吃著東西
牙齒忽然之間就咬不動東西了

這不僅僅對吃貨來說是巨大的打擊
對普通人的正常生活也會造成極大的影響
而這種在吃東西時出現的牙齒酸軟、疼痛無力的癥狀
被稱為“酸倒牙”
同時也說明你的口腔健康拉響了警報

辣么
是什么情況會導致“酸倒牙”的出現呢
今天小美就給大家好好講一講

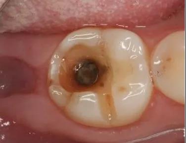
1.齲齒
也是我們常說的“爛牙”
也叫蛀牙
假如你牙齒本身有齲病
在刷牙、喝熱水、咀嚼食物時呈現酸軟感
這就意味著你的齲齒已經齲壞到中等深度了
請趕緊去看牙醫!

2.牙本質過敏
這種情況是因為牙齒的第二層
即牙本質暴露
再加上牙本質小管敞開而呈現的敏感表現
沒有自發性痛苦
但是對溫度改變、咀嚼咬合的影響特別靈敏
需要多加注意
使用含氟牙膏堅固牙齒

3.牙齒楔狀殘缺
牙齒的楔狀殘缺是因為刷牙方式不對
機械性損害了牙頸部位
呈現殘缺
讓牙本質層顯露
非常容易遭受外來影響
尤其是冷熱溫差改變影響時出現牙齒敏感
而當經常自發性疼痛的時候
意味著楔狀殘缺已經很嚴重了
一定一定要盡快就醫

4.牙隱裂
牙隱裂是牙冠外表長期遭到慢性損害呈現的小裂紋
隱裂牙前期通常沒有表現
但是當裂紋進入到牙體外表下的牙本質層時
就會致使牙酸軟、咬物痛苦
而到牙髓發作感染時
會有自發性痛
隱裂牙如果不及時治療的后果是牙齒劈裂
較終失去這顆牙齒
還是那句
趕緊看牙醫!

5.牙周病
當牙周炎發展到中晚期
因為牙槽骨吸收
致使牙齦萎縮呈現、牙根面顯露
失掉牙齦保護效果的牙根面
在受冷熱溫度影響下就會變得十分敏感
而且也會出現多個牙或感受全口牙頸部酸軟
牙齒咬東西時會感受到顯著無力

小美在這里要提醒大家
產生牙齒酸軟感主要是因為牙齒外層釉質破損
使內面的牙本質層外露而引發
多種牙體、牙髓病變、牙周病變
都可以表現有牙齒敏感,酸軟無力
但具體病因還是需要患者前去醫院檢查
明確情況再進行對癥下藥
所以當出現這種狀況時

一定要及時就醫
別因為狀況有所緩解就聽之任之
任其發展下去
很可能就是失去那顆牙齒
那就得不償失了!
上一篇:只有胖子才需要吸脂嗎?
